The World Health Organisation has declared the mpox outbreaks in Congo and elsewhere in Africa a global emergency, with cases confirmed among children and adults in more than a dozen countries and a new form of the virus spreading. Few vaccine doses are available on the continent.
Earlier this week, the Africa Centres for Disease Control and Prevention announced that the mpox outbreaks were a public health emergency, with more than 500 deaths, and called for international help to stop the virus’ spread.
“This is something that should concern us all … The potential for further spread beyond Africa and beyond is very worrying,” said WHO director-general Tedros Adhanom Ghebreyesus on Wednesday (early Thursday AEST).
The Africa CDC previously said that mpox, also known as monkeypox, has been detected in 13 countries this year, and that more than 96 per cent of all cases and deaths are in Congo.
Cases are up 160 per cent and deaths are up 19 per cent compared with the same period last year. So far, there have been more than 14,000 cases and 524 people have died.
“We are now in a situation where (mpox) poses a risk to many more neighbours in and around central Africa,” said Salim Abdool Karim, a South African infectious diseases expert who chairs the Africa CDC emergency group.
He noted that the new version of mpox spreading from Congo appears to have a death rate of about 3-4 per cent.
During the global 2022 mpox outbreak that affected more than 70 countries, fewer than 1 per cent of people died.
Michael Marks, a professor of medicine at the London School of Hygiene and Tropical Medicine, said declaring the mpox outbreaks in Africa an emergency is warranted if that might lead to more support to contain them.
“It’s a failure of the global community that things had to get this bad to release the resources needed,” he said.
Officials at the Africa CDC said nearly 70 per cent of cases in Congo are in children younger than 15, who also accounted for 85 per cent of deaths.
Jacques Alonda, an epidemiologist working in Congo with international charities, said he and other experts were particularly worried about the spread of mpox in camps for refugees in the country’s conflict-ridden east.
“The worst case I’ve seen is that of a six-week-old baby who was just two weeks old when he contracted mpox,” Alonda said, adding the baby has been in their care for a month.
“He got infected because hospital overcrowding meant he and his mother were forced to share a room with someone else who had the virus, which was undiagnosed.”
Save the Children said Congo’s health system already had been “collapsing” under the strain of malnutrition, measles and cholera.
Ghebreyesus said officials were facing several outbreaks of mpox outbreaks in various countries with “different modes of transmission and different levels of risk”
The UN health agency said mpox was recently identified for the first time in four East African countries: Burundi, Kenya, Rwanda and Uganda. All of those outbreaks are linked to the one in Congo. In the Ivory Coast and South Africa, health authorities have reported outbreaks of a different and less dangerous version of mpox that spread worldwide in 2022.
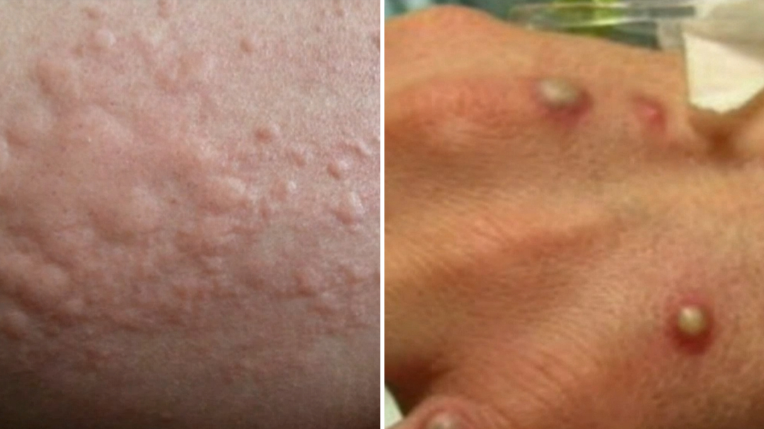
Earlier this year, scientists reported the emergence of a deadlier form of mpox, which can kill up to 10 per cent of people, in a Congolese mining town that they feared might spread more easily. Mpox mostly spreads via close contact with infected people, including through sex.
Unlike in previous mpox outbreaks, where lesions were mostly seen on the chest, hands and feet, the new form causes milder symptoms and lesions on the genitals. That makes it harder to spot, meaning people might also sicken others without knowing they’re infected.
In 2022, WHO declared mpox to be a global emergency after it spread to more than 70 countries that had not previously reported mpox, mostly affecting gay and bisexual men. Before that outbreak, the disease had mostly been seen in sporadic outbreaks in central and West Africa when people came into close contact with infected wild animals.
Western countries mostly shut down the spread of mpox with the help of vaccines and treatments, but very few of those have been available in Africa.
Marks of the London School of Hygiene and Tropical Medicine said that in the absence of mpox vaccines licensed in the West, officials could consider inoculating people against smallpox, a related disease.
“We need a large supply of vaccine so that we can vaccinate populations most at risk,” he said, adding that would mean sex workers, children and adults living in outbreak regions.
Congolese authorities said they have asked for 4 million doses of mpox vaccine, Cris Kacita Osako, coordinator of Congo’s Monkeypox Response Committee, told The Associated Press. Osako said those would mostly be used for children under 18.
“The United States and Japan are the two countries that positioned themselves to give vaccines to our country,” Osako said.
Although WHO’s emergency declaration is meant to spur donor agencies and countries into action, the global response to previous emergency designations has been mixed.
Dr Boghuma Titanji, an infectious diseases expert at Emory University, said the last WHO emergency declaration for mpox “did very little to move the needle” on getting things like diagnostic tests, medicines and vaccines to Africa.
“The world has a real opportunity here to act in a decisive manner and not repeat past mistakes, (but) that will take more than an (emergency) declaration,” Titanji said.


